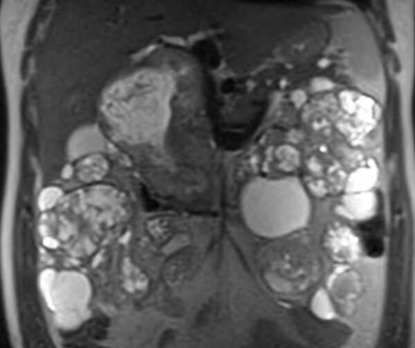
Case 18

$

Tags,
Categories

Reference:

https://radiopaedia.org/cases/von-hippel-lindau-disease-20

Additional information

Modality

MRI

Region

GIT, GUT

Reviews

There are no reviews yet.

Be the first to review “Case 18”

Reviews

There are no reviews yet.

Be the first to review “Case 18”