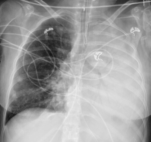
Case 31

$

Tags
Categories

Reference:

https://radiopaedia.org/cases/hemithorax-white-out-pneumonia-1

Additional information

Modality

X-RAY

Region

CHEST

Reviews

There are no reviews yet.

Be the first to review “Case 31”

Reviews

There are no reviews yet.

Be the first to review “Case 31”