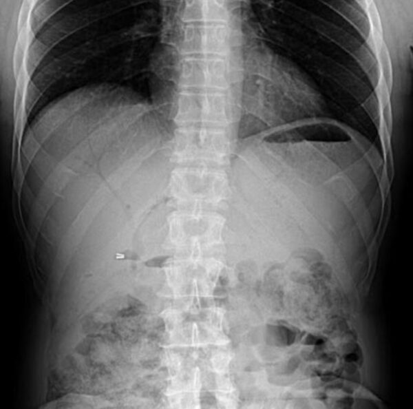
Case 33

$

Tags
Categories

Reference:

https://radiopaedia.org/cases/pneumobilia-1

Additional information

Modality

X-RAY

Region

GIT

Reviews

There are no reviews yet.

Be the first to review “Case 33”

Reviews

There are no reviews yet.

Be the first to review “Case 33”