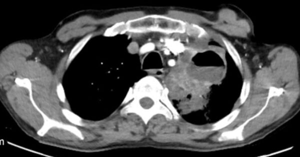
Case 64

$

Tags
Categories

Reference:

https://radiopaedia.org/cases/pulmonary-abscess-7

Additional information

Modality

CT

Region

CHEST

Reviews

There are no reviews yet.

Be the first to review “Case 64”

Reviews

There are no reviews yet.

Be the first to review “Case 64”